
दांतों की सड़न और कैविटी (छेद) दांतों से जुड़ी आम समस्याएं हैं जो किसी भी उम्र में हो सकती हैं। इनकी शुरुआत तब होती है जब दांतों पर जमी प्लाक (पपड़ी) में मौजूद बैक्टीरिया से निकलने वाले एसिड धीरे-धीरे दांतों के इनेमल (ऊपरी परत) को गलाने लगते हैं।
अगर इनका इलाज न किया जाए, तो जो नुकसान छोटे-छोटे धब्बों के रूप में शुरू होता है, वह आगे चलकर बड़ी समस्याओं का रूप ले सकता है; जैसे—दांतों में झनझनाहट, दर्द, मसूड़ों में इन्फेक्शन, और गंभीर मामलों में, फोड़े (abscesses) या दांतों का गिरना।
इस लेख में, हम दांतों की सड़न के लक्षणों के बारे में जानेंगे।
दांतों की सड़न के कारण
दांतों की सड़न तब होती है जब कार्बोहाइड्रेट से भरपूर भोजन दांतों के बीच फंस जाता है और ब्रश या फ्लॉस करने के बाद भी पूरी तरह से साफ नहीं हो पाता।
दांतों पर जमी प्लाक में मौजूद बैक्टीरिया इन शर्करा (शुगर) के साथ मिलकर प्रतिक्रिया करते हैं, जिससे एसिड बनता है। यह एसिड दांतों की सुरक्षा करने वाली इनेमल की परत को धीरे-धीरे नष्ट कर देता है।
समय के साथ, इस प्रक्रिया के कारण दांतों में छोटे-छोटे छेद बन जाते हैं, जिन्हें कैविटी कहा जाता है। अगर समय पर इलाज न किया जाए, तो ये कैविटी बड़ी हो सकती हैं और अंततः पूरे दांत को खराब कर सकती हैं।
दांतों की सड़न का एक मुख्य कारण मीठे या चिपचिपे खाद्य पदार्थों और पेय पदार्थों का बार-बार सेवन करना है। आप जितना ज़्यादा मीठा खाएंगे, उतना ही ज़्यादा एसिड बनेगा, जिससे आपके दांतों को नुकसान पहुंचने का खतरा बढ़ जाता है।
जब भी आप कोई मीठा स्नैक (नाश्ता) खाते हैं, तो आपके दांतों का इनेमल लगभग 20 मिनट तक नुकसान पहुंचाने वाले एसिड के संपर्क में रहता है। इन कारणों को समझना आपके दांतों की सुरक्षा करने और लंबे समय तक अपने मुंह के स्वास्थ्य को बनाए रखने के लिए बहुत ज़रूरी है।
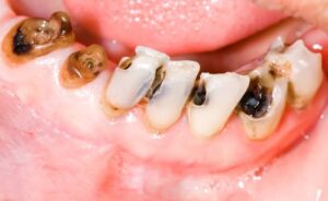
दांतों की सड़न के लक्षण
🔸गर्म, ठंडा या मीठा भोजन और पेय पदार्थ खाते-पीते समय दर्द या असहजता महसूस होना।
🔸दांतों की सतह पर छोटे-छोटे गहरे धब्बे या छेद दिखाई देना।
🔸लगातार या कभी-कभी दांतों में दर्द होना।
🔸दांतों पर सफेद, भूरे या काले रंग के दाग पड़ जाना।
🔸अक्सर मुंह से बदबू आना या मुंह में अजीब सा (खराब) स्वाद महसूस होना।
🔸भोजन चबाते या काटते समय असहजता या तेज दर्द होना।
🔸मसूड़ों में सूजन आना, या गंभीर मामलों में मसूड़ों में फोड़ा (abscess) बन जाना।
अंतिम विचार
कैविटी को बढ़ने से रोकने और अपने दांतों के स्वास्थ्य को सुरक्षित रखने के लिए, तुरंत ध्यान देना और दांतों की उचित देखभाल करना बहुत ज़रूरी है।
